ד"ר דובדבני הוכשר לסקירת לב העובר כבר משלב השקיפות העורפית ועד הלידה
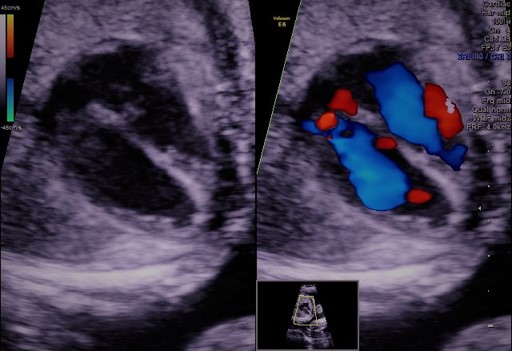
מומי לב מולדים הם מהנפוצים במומים המולדים. יכולים להיות ממצא מבודד או כחלק מתמונה שלמה של ממצאים אשר יכולים להיות חלק מסינדרום.
קיימת חשיבות עליונה באיתור מומים לבביים טרם הלידה על מנת לאפשר טיפול מיטבי כמידת האפשר במקרים בהם ההורים מבקשים לבצע ככול שביכולתם למען היילוד כמו כן לתת להורים לעתיד את כל המידע האפשרי על מנת להתכונן לבאות.
במסגרת ההכשרה של ההתמחות ברפואת העובר אותה ביצע ד"ר דובדבני הוקדש פרק נפרד לסקירת לב העובר בהנחיית קרדיולוגים מהמובילים בלונדון-אנגליה. ד"ר דובדבני סיים בהצלחה הכשרה זו והוסמך לביצוע בדיקת לב העובר.
הקישור הבא מוביל אל אתר ה Fetal Medicine Foundation בו תוכל לצפות ברשימת האנשים בעולם אשר עברו הכשרה וקיבלו הסמכה דומה לזו של ד"ר דובדבני