ד"ר דובדבני מוסמך לבצע הערכות זרימות דם עובריות ושילייתיות באולטראסאונד דופלר
האולטרסאונד הוא כלי חשוב בגילוי מומים מולדים, אך לא פחות בהערכת גדילת העובר ובחיוניותו. במכשירי האולטראסאונד החדישים קיימת תוכנה המאפשרת למדוד את זרימת הדם וההתנגדות לזרימה בכלי דם.
אופצייה זו מאפשרת לבודק לבצע הערכה של הויאהביליות של העובר ותפקוד השילייה.
במקרים רבים נדרשת הערכה של זרימות הדם העובריות, להלן מספר דוגמאות:
במדינות רבות בעולם הערכת הזרימות בעורק הטבור ובמוח העובר נכנסו במסגרת בדיקת סקר כחלק מהערכת הגדילה בטרימסטר השלישי, על מנת לגלות הפרעות בתפקוד השילייתי. די מוסכם כי קיים לכך ייתרון בעוברים אשר קטנים מהממוצע ועוד יותר באלו הקטנים מאחוזון 10.
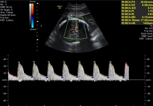
בדיקת מהירות הזרימה בעורק המוח האמצעי MCA, מנבאת די טוב את האפשרות כי קיימת אנמיה עוברית. מצב אשר לעיתים מצריך עירוי דם תוך רחמי לעובר על מנת להציל את חייו. בדיקה זו חשובה במיוחד לנשים הרות אשר פיתחו נוגדני דם מסוגים שונים.
הערכת זרימות דם היא חלק בלתי נפרד ממעקב אחר תאומים מונוכוריאליים (תאומים אשר חולקים את אותה השילייה). הערכה זו היא חיונית על מנת להעריך סיבוכים כגון TTTS, SIUGR או TAPS.
ליצירת קשר ותיאום פגישה עם ד"ר דובדבני התקשרי 054-6461360